Echocardiogram services for adult and pediatric patients. 

On Call Echo Tech, LLC provides comprehensive echocardiography services tailored to meet the needs of adult patients, and pediatric patients with complex congenital heart conditions. Our expert team ensures quality care in both hospital and outpatient settings.  We provide our services locally and we are willing to travel.  

Who We Are

On Call Echo Tech, LLC specializes in comprehensive echocardiography services for 

adult and pediatric patients,
particularly those with complex congenital heart conditions.
Our mission is to deliver flexible and expert care tailored to meet the unique needs of each patient.

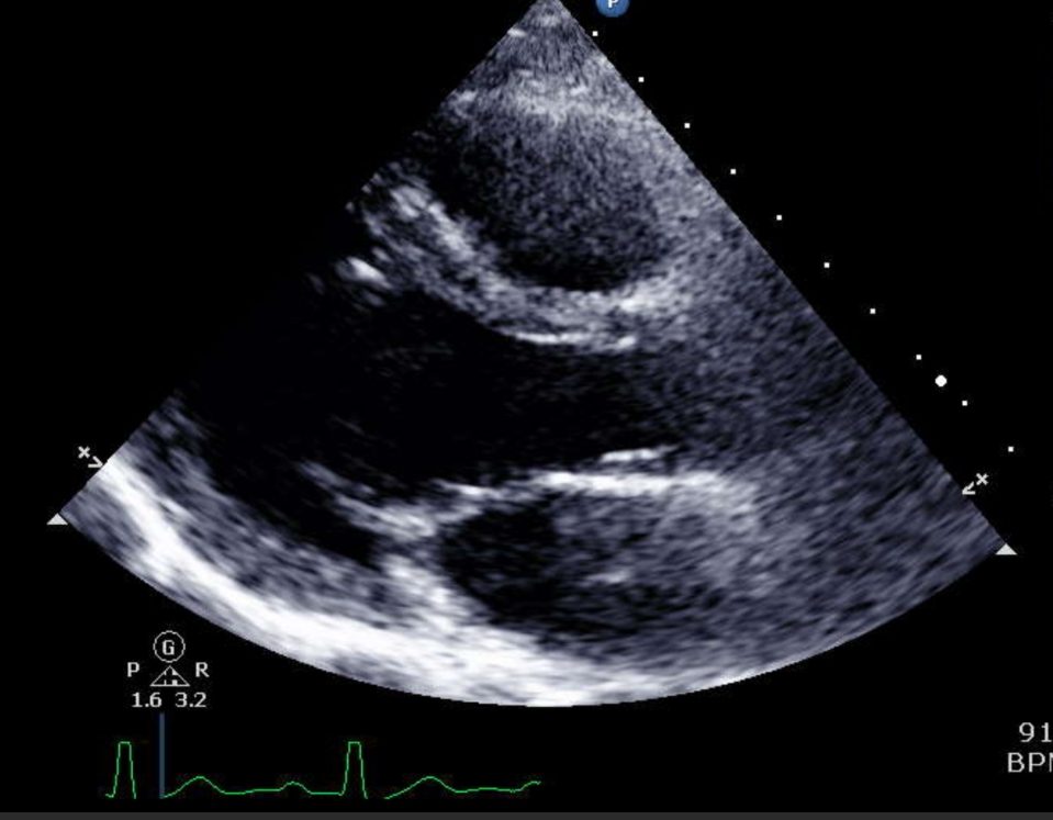
2D and 3D Echocardiograms

Advanced imaging techniques for detailed cardiac assessments.

Stress Echocardiograms

Both treadmill and dobutamine options available for accurate evaluations.

Transesophageal Echocardiograms

In-depth assessments through minimally invasive procedures.

I hereby agree that this data will be stored and processed for the purpose of establishing contact. I am aware that I can revoke my consent at any time.*

* Please fill in all the required fields.
Message was successfully sent

Get in touch

Telephone: 949-690-0535

E-mail: oncallechotech@gmail.com

Address: Dothan, 36305, Alabama, United States

©Copyright. All rights reserved.

We need your consent to load the translations

We use a third-party service to translate the website content that may collect data about your activity. Please review the details in the privacy policy and accept the service to view the translations.